把一个单元格的内容快速的分成多行
2024-10-09 01:39:05
宝宝换牙期牙齿排列是什么样子?几张图一目了然
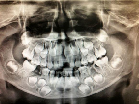
孩子在6-7岁的时候,乳牙换成恒牙,换牙后就伴随着一生,很多父母会奇怪,宝宝的牙齿是怎么生长出来的呢?其实在乳牙还未脱落时,恒牙胚就已经在慢慢发育长大,那么此时的宝宝牙齿是什么样的呢?现在发出几张换牙时的照片,这样会有更直接的了解。

可以看出还未长出的恒牙胚,正在逐渐发育,慢慢向外生长。

这是一个换牙期的颅骨,看起来确实有点让人难以接受。、

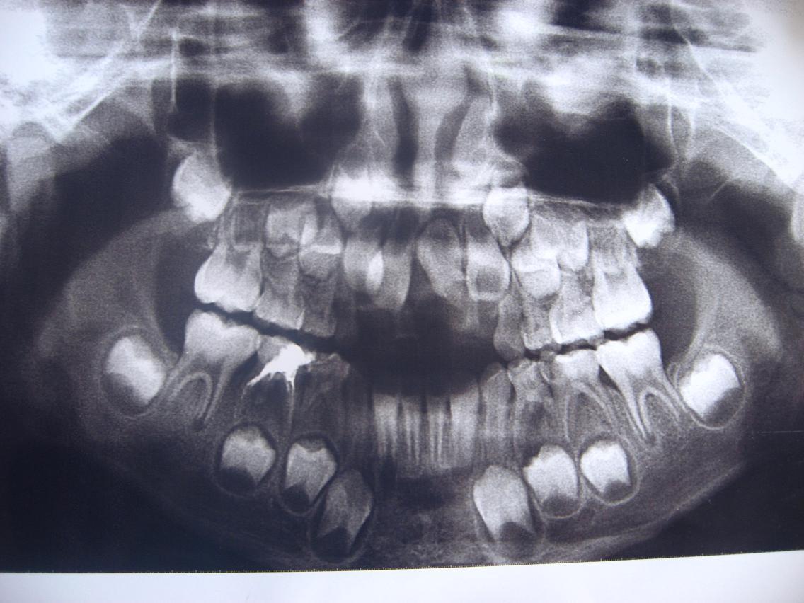
这是换牙期颅骨的侧面照,可以看出,如果宝宝乳牙未脱落,恒牙就长出,出现双层牙是多么恐怖是事情。

这个能看出乳牙还包裹着恒牙的小牙胚,经常给宝宝做牙齿检查非常重要。

不知宝宝看到这些扫描图会如何感想,一定会非常害怕看到自己的牙齿,要给宝宝养成每天刷牙、漱口的好习惯,抓好这次换牙的机会保护好牙齿。
2024-10-09 01:39:05
2024-10-09 01:36:58
2024-10-09 01:34:51
2024-10-09 01:32:44
2024-10-09 01:30:38
2024-10-09 01:28:31
2024-10-09 01:26:24
2024-10-09 01:24:17
2024-10-09 01:22:10
2024-10-09 01:20:03
2024-10-09 01:17:56
2024-10-09 01:15:49
2024-10-09 01:13:42
2024-10-09 01:11:35
2024-10-09 01:09:28
2024-10-09 01:07:21
2024-10-09 01:05:14
2024-10-09 01:03:07
2024-10-09 01:01:00
2024-10-09 00:58:53