电视投屏软件有哪些?这些超好用的软件推荐给你!(附安装教程)
2025-06-06 00:37:24
肺段支气管解剖

图1-胸锁关节层面
▲T:气管,E:食管,S1:上叶尖段

图2:主动脉弓层面
▲ARCH :主动脉弓,S2:上叶后段,S1+2:左上叶尖后段

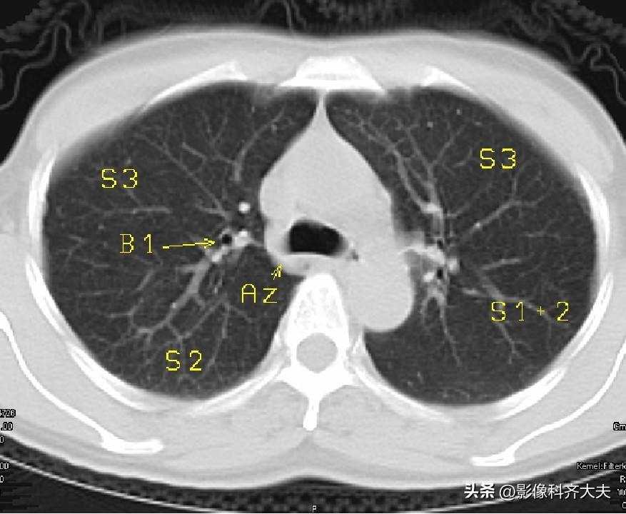
图3-主肺动脉窗层面
▲Az:奇静脉弓,B1:上叶尖段支气管,S3:上叶前段

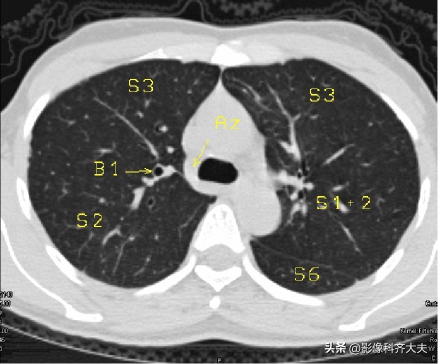
图4-奇静脉弓层面
▲S6:下叶背段

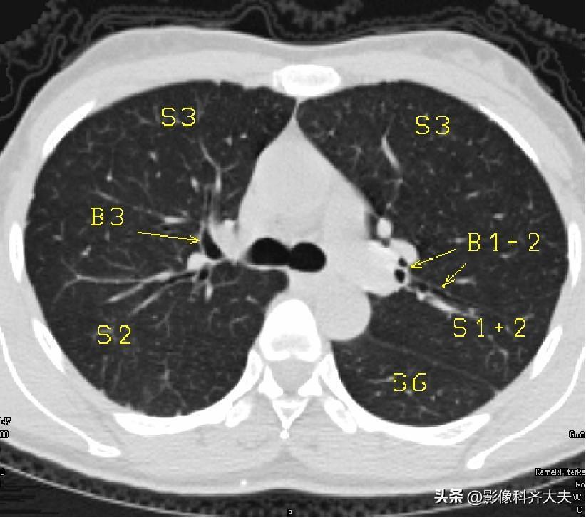
图5-近隆突层面
▲B1+2:左上叶尖后段支气管B3:上叶前段支气管

图6-隆突层面。
▲B2:上叶后段支气管,C:隆突,RMB/LMB:右/左主支气管,RULB:右上叶支气管

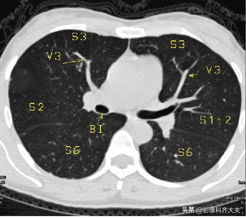
图7-隆突下1cm层面
▲BI:中间支气管

图8-隆突下1cm层面 图8-隆突下1cm层面
▲LUMB:左上叶支气管

图9-隆突下2cm层面
▲V3:上叶前段静脉的段间支

图10-隆突下2cm层面
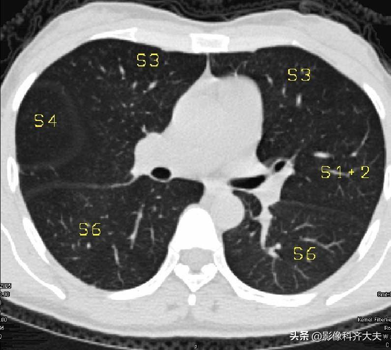
▲S4:右中叶外段/左舌上段

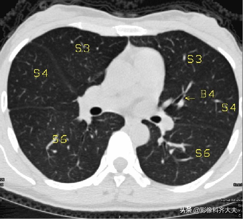
图11-隆突下3cm层面
▲B4:右中叶外侧段/左舌上段支气管

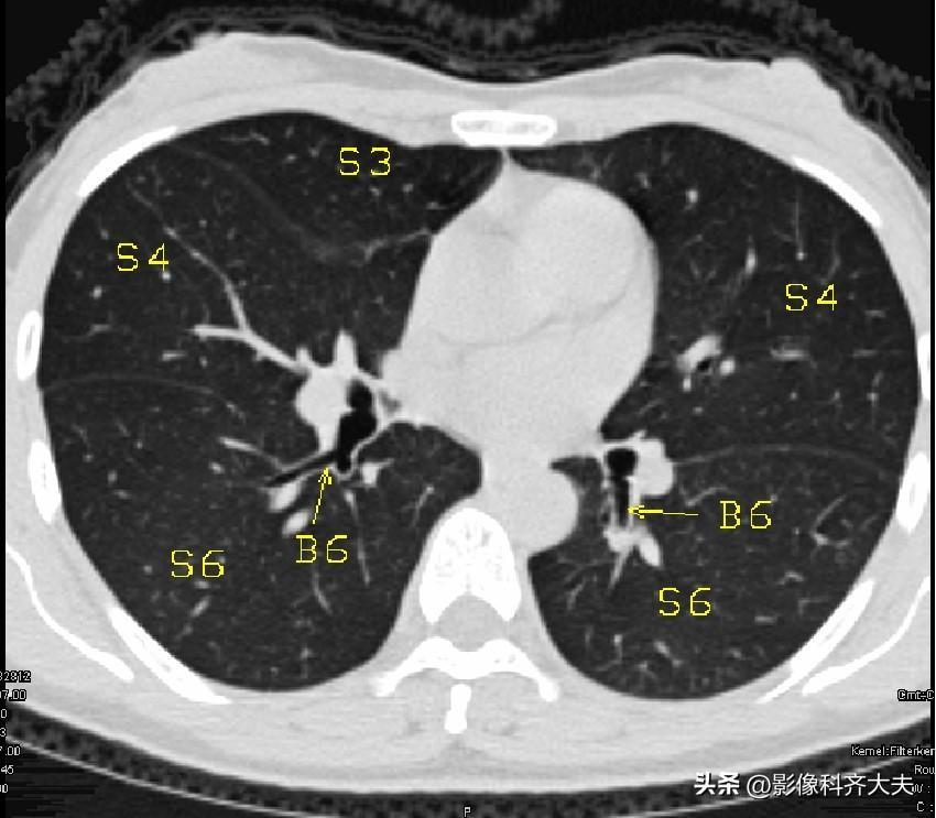
图12
▲B6:下叶背段支气管

图13

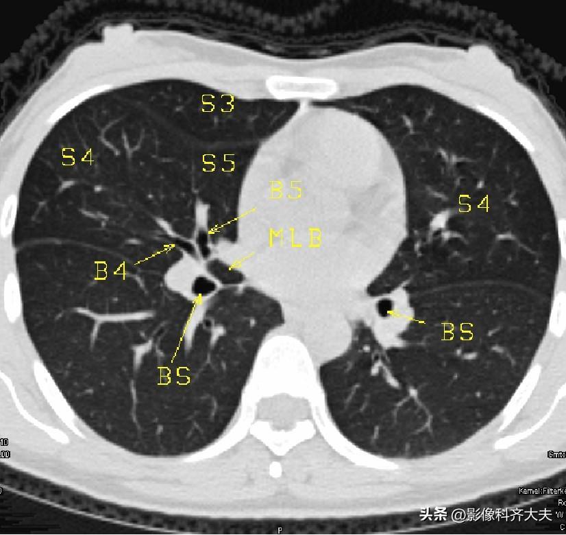
图14
▲B5:右中叶内侧段/左舌下段支气管,BS:基底干支气管,MLB:中叶支气管,S5:右中叶内侧段/左舌下段

图15-近心底层面
▲B7+8:下叶前内段支气管

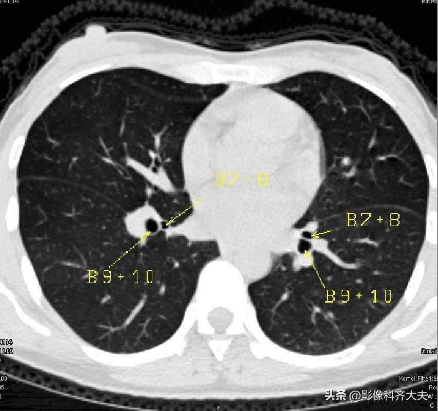
图16-近心底层面
▲B7:下叶内段支气管,B8:下叶前段支气管,B9:下叶外段支气管,B10:下叶后段支气管

肺段支气管分布图
2025-06-06 00:37:24
2025-06-06 00:35:08
2025-06-06 00:32:51
2025-06-06 00:30:35
2025-06-06 00:28:19
2025-06-06 00:26:03
2025-06-06 00:23:46
2025-06-06 00:21:30
2025-05-28 23:54:02
2025-05-28 23:51:46
2025-05-28 23:49:30
2025-05-28 23:47:14
2025-05-28 23:44:57
2025-05-28 23:42:41
2025-05-28 23:40:25
2025-05-28 23:38:08
2025-05-28 23:35:52
2025-05-28 23:33:35
2025-05-28 23:31:20
2025-05-28 23:29:03